Transform Your Smile Naturally
There could be a question: Why porcelain veneers?
Book Your Free Smile Consultation Today
Why Choose Porcelain Veneers?
Benefits of Porcelain Veneers:
- Natural Appearance: Translucent and custom-shaded to blend with your natural teeth.
- Stain Resistance: Porcelain resists coffee, tea, and smoking stains.
- Durable & Long-Lasting: With proper care, veneers can last 10–15+ years.
- Comprehensive Smile Makeover: Fix multiple cosmetic issues at once shape, color, and alignment.
- Quick Results: Achieve a flawless smile in just a few dental visits.
Porcelain veneers are ideal for anyone looking for a dramatic smile transformation with minimal discomfort and long-term results.
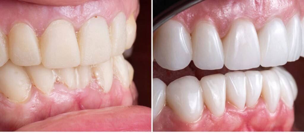
See How Veneers Can Transform Your Smile
Before & After Gallery
Seeing is believing
Porcelain veneers can completely transform a smile, giving you the confidence to laugh, talk, and pose for photos without hesitation.
At MB Dental, we showcase real results from our patients so you can see the impact of custom porcelain veneers:
Before & After Highlights:
- Chipped & Worn Teeth: Smoothed edges and restored shape for a youthful look.
- Discolored or Stained Teeth: Brighter, whiter teeth that blend naturally.
- Gaps & Minor Misalignments: Evenly spaced teeth for a balanced smile.
- Misshaped Teeth: Perfectly proportioned and symmetrical appearance.
Patient Story
“I never realized how much my smile affected my confidence. After getting veneers at MB Dental, I feel proud every time I smile!” Sarah K.
Porcelain vs Composite vs No-Prep Veneers
- Lifespan: 10–15+ years
- Cost: Higher than other options
- Best for: Stains, chips, gaps, uneven teeth
- Benefits: Extremely natural look, stain-resistant, durable
- Lifespan: 7–10 years
- Cost: Mid-range
- Best for: Minor reshaping and shade improvement
- Benefits: Ultra-thin, minimal enamel removal, less invasive
- Lifespan: 5–7 years
- Cost: More affordable
- Best for: Minor cosmetic corrections
- Benefits: Quick application, less expensive, can be repaired easily
Total time taken is about 45–60 minutes for in-office whitening and you will get brighter, whiter teeth in just one visit.
Talk to Our Dentists About Which Veneer Type is Right for You
Who Is a Good Candidate for Veneers?
Common Scenarios:
- Have stained or discolored teeth that don’t respond to whitening
- Want to close small gaps or fix minor misalignments
- Have chipped, worn, or misshaped teeth
- Desire a comprehensive smile makeover without braces or surgery
Important Considerations:
- Healthy teeth and gums are essential for the success of veneers.
- Sufficient enamel is needed for bonding (except for no-prep veneers).
- Not suitable for severe decay or untreated gum disease our dentists will guide you to the best alternative if needed.
Even if you’re unsure, a free consultation at MB Dental will help determine whether veneers or another cosmetic solution are the best fit for your smile.
The Veneer Procedure
Step 1: Consultation & Smile Planning
Step 2: Tooth Preparation
Step 3: Impressions & Lab Work
Step 4: Temporary Veneers (If Needed)
Step 5: Bonding & Final Adjustments
Your custom veneers are bonded to your teeth using strong, safe dental adhesive. Our dentists check your bite, make any final adjustments, and polish for a flawless finish.
How Much Do Veneers Cost?
One of the most common questions patients ask about porcelain veneers is cost. While veneers are an investment in your smile, understanding the factors that affect price can help you plan confidently.
Factors That Influence the Cost of Veneers:
1. Number of Teeth Treated
2. Material Type
- Porcelain Veneers: Premium choice, highly durable, natural translucency, stain-resistant.
- Composite Veneers: Lower cost, less durable, suitable for minor corrections.
- No-Prep Veneers (Lumineers): Mid-range cost, ultra-thin, minimally invasive.
3. Complexity of the Case
4. Dental Lab & Technology
5. Additional Treatments
Typical Price Range
Why Veneers Are Worth the Investment
- A long-lasting, natural-looking smile that boosts confidence
- Corrects multiple cosmetic issues in a single treatment
- Stain-resistant and durable for 10–15+ years with proper care
Don’t make decisions based only on price. Quality, customization, and professional expertise are critical to achieve a beautiful, long-lasting smile.
FAQs
1. Are porcelain veneers permanent?
2. Do veneers hurt?
3. How long does the veneer process take?
4. Can veneers be whitened?
5. Are no-prep veneers right for me?
6. Do veneers look natural?
7. Can veneers be replaced if damaged?
8. Who is a good candidate for veneers?
At MB Dental, it’s not just about whiter teeth. It’s about helping you smile freely, proudly, and without hesitation
Services
- Root Canal Therapy
- Inlays and Onlays
- Dental Implants
- Dentures (Full & Partial)
- Dental Crowns & Bridges
- Tooth Recontouring
- Smile Makeovers
- Cosmetic Bonding
- Porcelain Veneers
- Dental Check-Ups
- Teeth Cleaning & Polishing
- Digital X-Rays
- Tooth-Colored Fillings
- Sealants & Fluoride Treatments
- Teeth Whitening (Bleaching)
- View All
Why Choose Us?
Are you having health problems? Contact us today!
Address:
Contact With Us
Call Us 24/7: 051-4916333
